メディア記事
事故で折れた犬歯を残す ── 矯正的挺出+歯冠長延長術でフェルールを確保しクラウンへ
目次
先に結論(忙しい方向け)
はじめに ── 「歯が折れた!」その時どうする?
「転んで歯が折れてしまった」「事故でぶつけた」── そんな場面は、お子さんだけでなく大人でも起こりえます。
折れた場所が歯の先端だけであれば、比較的シンプルに修復できることが多いのですが、問題は歯ぐきの際(きわ)、あるいは歯ぐきの下の方まで折れてしまった場合です。
このような深い位置で折れると、被せ物(クラウン)を安定させるための「土台」がほとんど残りません。そのまま無理に被せても、すぐ外れたり、歯の根が割れたりするリスクがあります。
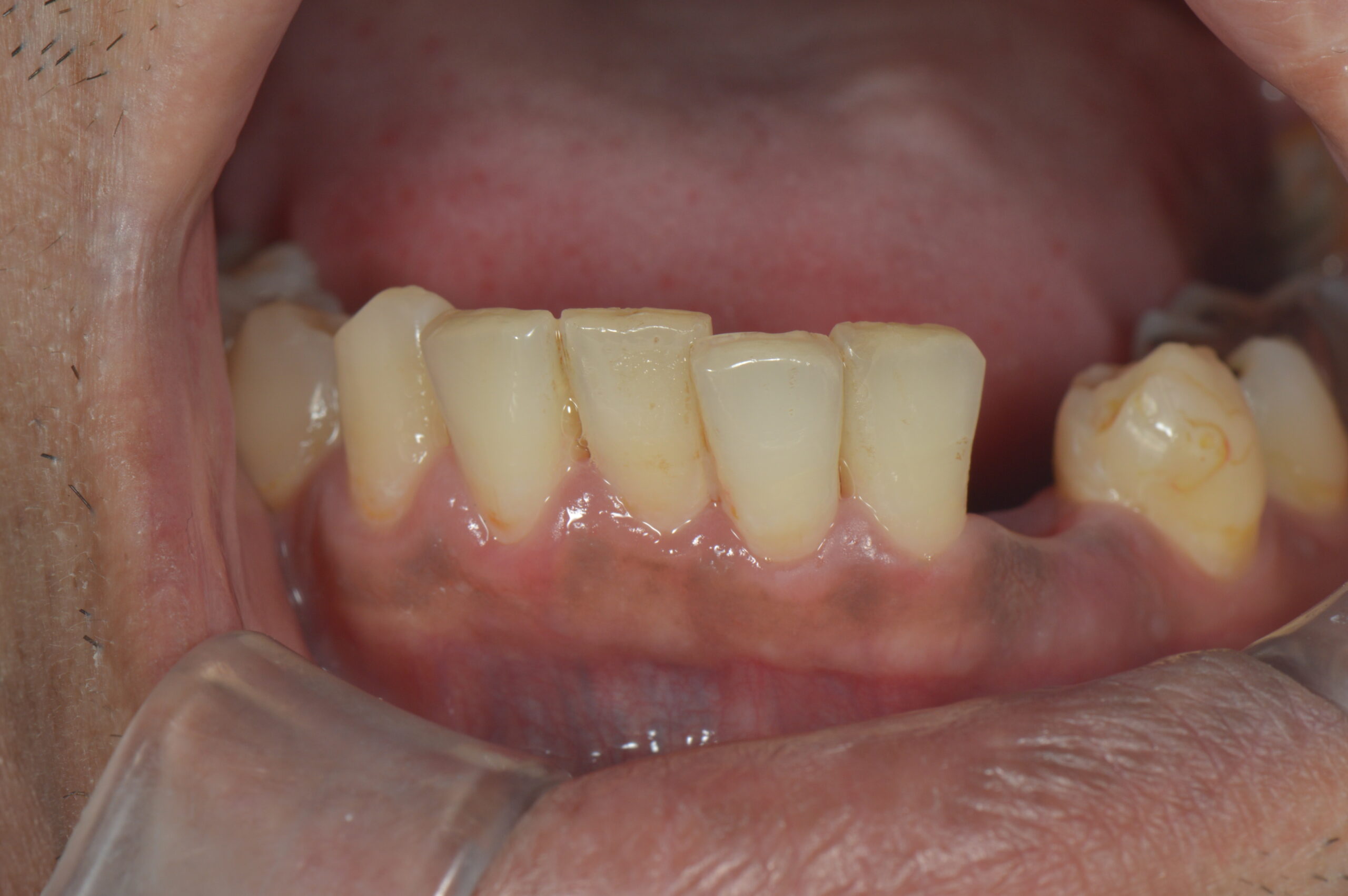
下の写真は、今回ご紹介する患者さんの初診時の口腔内です。事故によって歯が歯肉の際で折れており、歯肉の上に歯質がほとんど残っていない状態です。この状態ではフェルール(被せ物の土台となる歯質の壁)が確保できず、そのまま被せ物を作ることができません。

今回は、左下3番(犬歯)が事故で歯ぐきの近くまで折れてしまった患者さんに対して、矯正的挺出と外科的歯冠長延長術を組み合わせて歯を残し、最終的にクラウンを被せるまでの治療の流れをご紹介します。
そもそも「フェルール」とは?
フェルールって何?
フェルールとは、被せ物(クラウン)のまわりに帯のように残る、健全な歯質の部分のことです。つまり、被せ物をただ乗せるのではなく、自分の歯でしっかり支えられている状態を指します。
なぜフェルールが重要なのか
- 被せ物の脱離防止:フェルールがあると、クラウンが横方向の力に対して抜けにくくなる
- 歯根破折の防止:力が均等に分散され、歯の根が割れるリスクが下がる
- 長期的な予後の向上:フェルールが1.5〜2mm以上確保された歯は、そうでない歯に比べて長持ちする
一般的に、歯ぐきの上に出ている健全な歯質の壁が高さ1.5〜2mm以上、厚さ1mm以上、全周に近い形で残っていることが理想とされています。
今回の問題点
事故で折れたこの犬歯は、歯ぐきの際まで歯質が失われていたため、そのままではフェルールを確保できませんでした。つまり、被せ物を作っても長持ちしないリスクが高い状態でした。
そこで、歯根を引き上げて(=歯ぐきの上に歯質を出して)フェルールを作る治療計画を立てました。
治療の全体像 ── 4つのステップ
| ステップ | 治療内容 | 目的 | 期間の目安 |
|---|---|---|---|
| ① 診査・診断 | レントゲン・CT・歯周検査 | 歯根の状態を確認し、保存可能か判断 | 初診時 |
| ② 矯正的挺出 | ゴムやワイヤーで歯根を引き上げる | 歯ぐきの上に歯質を出す | 約4〜8週間 |
| ③ 外科的歯冠長延長術 | 歯ぐきと骨の位置を外科的に調整 | フェルールに必要な歯質を露出させる | 手術+治癒約4〜8週間 |
| ④ 補綴(クラウン装着) | 土台(コア)+クラウンを作製・装着 | 機能と審美性の回復 | 約2〜4週間 |
ステップ① 診査・診断 ── 「残せるかどうか」の見極め
歯が折れた場合、まず確認するのは以下のポイントです。
歯根の長さと太さ
矯正的挺出で歯根を引き上げると、結果的に歯根は短くなります。引き上げた後でも十分な歯根の長さが残るかが重要な判断基準です。犬歯は歯根が長い歯なので、この点で有利でした。
歯根の破折がないか
事故の衝撃で歯根に縦のヒビ(垂直性歯根破折)が入っていると、残念ながら保存は困難です。レントゲンやCTで確認します。
歯周組織の状態
歯を支える骨や歯ぐきが健康であることも必要条件です。重度の歯周病がある場合は、挺出がうまくいかないことがあります。
ステップ② 矯正的挺出(エクストルージョン)── 歯根を「引き上げる」
エクストルージョンとは?
矯正的挺出(エクストルージョン)とは、矯正の力を使って歯根を歯ぐきの外に引き出す治療法です。歯を「抜く」のではなく、ゆっくりと「引き上げる」イメージです。
どうやって引き上げるの?
- 折れた歯の根にフックやボタンを接着する
- 隣の歯にワイヤーを固定して「足場」を作る
- ゴム(エラスティック)やワイヤーの弾力で、少しずつ歯根を引き上げる
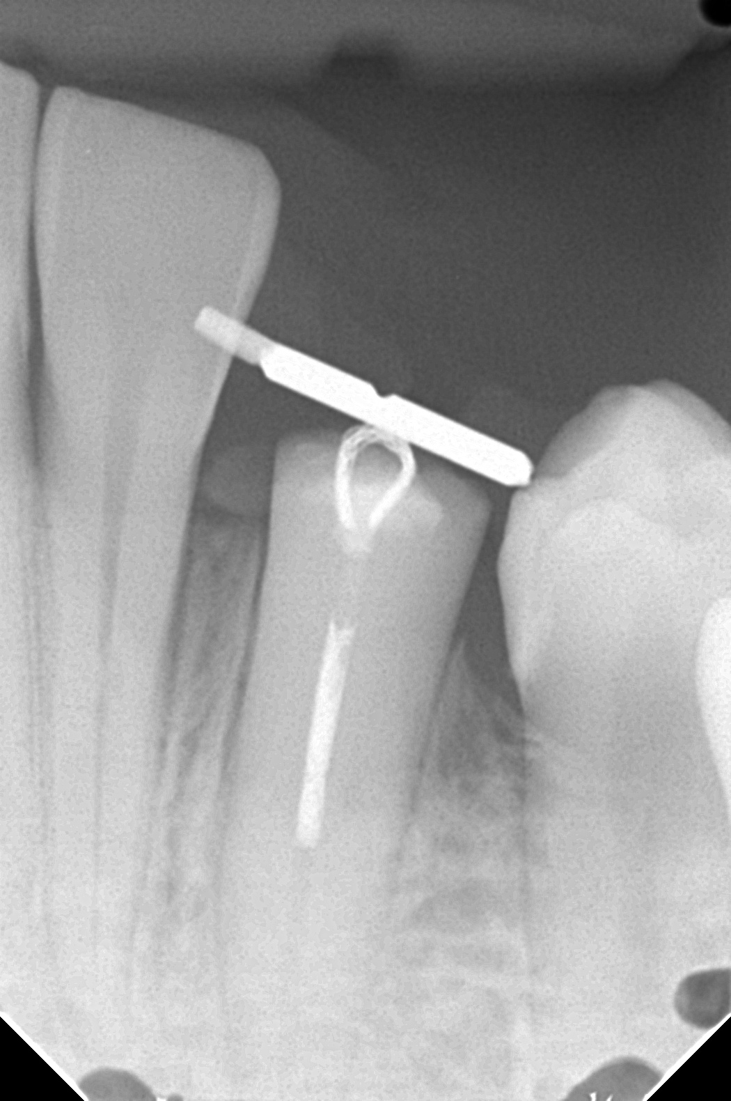
下のレントゲン写真は、歯根に輪っか状の器具(フック)を装着した状態です。レントゲンでは歯茎は映りませんが、歯根が骨のギリギリまで折れてしまっていることがわかります。ここからゴムやワイヤーの力を使って、少しずつ歯根を歯ぐきの外に引き出していきます。

下の写真は、実際に隣の歯にワイヤーを渡してゴムの力で引き上げている口腔内の様子です。

引き上げのペース
- 一般的に1週間に0.5〜1mm程度のペースで引き上げます
- 急激に動かすと歯根吸収(根が短くなる)のリスクがあるため、ゆっくり確実に動かします
- 必要な引き上げ量にもよりますが、約4〜8週間で目標量に到達するケースが多いです
下のレントゲン写真は、矯正的挺出が完了した後の状態です。挺出前のレントゲンと比較すると、骨のラインより上に歯根がしっかりと出てきているのが確認できます。

ステップ③ 外科的歯冠長延長術 ── 歯ぐきと骨を整える
歯冠長延長術とは?
歯冠長延長術(クラウンレングスニング)とは、歯ぐきや歯を支える骨の位置を外科的に下げて、歯ぐきの上に出ている歯の長さ(歯冠長)を増やす手術です。
なぜ必要なのか
矯正的挺出で歯根を引き上げると、歯ぐきや骨も一緒に追いかけてくる傾向があります。そのため、挺出だけではフェルールに十分な歯質が露出しないことがあります。
また、歯ぐきの形を左右対称に整え、審美的にも自然な見た目にするためにも、この手術が役立ちます。
手術の流れ
- 局所麻酔で痛みをコントロール
- 歯ぐきを切開してめくり、歯根と骨を直接確認
- 必要に応じて骨の形を整える(骨整形)
- 歯ぐきを適切な位置に縫合する
- 約1〜2週間後に抜糸
下の写真は、歯冠長延長術を行った直後の口腔内です。手術によって歯肉の位置が下がり、歯根が歯肉の上に十分に露出しています。これにより、フェルールを確保するための歯質がしっかりと見えるようになりました。

生物学的幅径(Biological width)への配慮
歯ぐきと骨の間には、生物学的幅径と呼ばれる「歯ぐきが健康を保つために必要な距離」があります(約2〜3mm)。
この幅を無視して被せ物を作ると、歯ぐきの慢性的な炎症や骨の吸収を引き起こします。手術では、この生物学的幅径を確保した上で、フェルールに必要な歯質を露出させます。
治癒期間
手術後、歯ぐきと骨が安定するまで約4〜8週間待ちます。この間は仮歯で過ごしていただきます。
ステップ④ 補綴(クラウン装着)── 最終的な「歯」を作る
土台(コア)の作製
歯根の中にファイバーポストなどを用いて土台(コア)を立てます。ファイバーポストは歯根と近い弾性を持つため、歯根破折のリスクを低減できます。
クラウンの作製・装着
- 精密な型取り(印象採得)を行い、技工所でクラウンを作製
- 色調・形態を隣の歯と合わせて調整
- フェルールがしっかり確保された状態でクラウンを接着
下の写真は、最終的なクラウン(被せ物)を装着した状態です。歯肉の腫れもなく、歯茎のラインも自然な位置に落ち着いています。機能的にも審美的にも良好な仕上がりとなりました。

「抜歯してインプラント」との比較
「折れたなら抜いてインプラントにした方が早いのでは?」と思われるかもしれません。それぞれにメリット・デメリットがあります。
| 比較項目 | 矯正的挺出+歯冠長延長術+クラウン | 抜歯+インプラント |
|---|---|---|
| 自分の歯を残せるか | ✅ 残せる | ❌ 失う |
| 歯根膜の保存 | ✅ 歯根膜が残るため、噛んだ感覚が自然 | ❌ 歯根膜がないため感覚が異なる |
| 治療期間 | 約3〜6か月 | 約6か月〜1年(骨造成が必要な場合はさらに延長) |
| 外科的侵襲 | 小さい(歯冠長延長術は小範囲の手術) | 大きい(抜歯+インプラント埋入手術) |
| 費用 | インプラントより低コストなことが多い | 一般的に高額 |
| 長期予後 | 歯根の状態に依存(適応症を守れば良好) | 高い成功率(ただし周囲炎のリスクあり) |
今回のケースでは、歯根が健全で十分な長さがあったため、自分の歯を活かす方針が最善と判断しました。
よくある質問(Q&A)
Q1. 矯正的挺出は痛いですか?
弱い矯正力を使うため、強い痛みを感じることはほとんどありません。ゴムの力をかけた直後に軽い違和感がある程度で、通常は1〜2日で落ち着きます。
Q2. 歯冠長延長術の手術は怖くないですか?
局所麻酔をしっかり効かせて行うため、手術中の痛みはありません。術後は軽い腫れや違和感が出ることがありますが、通常1週間程度で落ち着きます。処方する痛み止めで十分コントロールできます。
Q3. 治療中は歯がない状態になりますか?
仮歯を作製するため、見た目が気になることはありません。矯正的挺出の期間中も、仮歯で見た目と仮の噛み合わせを確保します。
Q4. 引き上げた歯はどれくらい持ちますか?
適応症を正しく守り、十分なフェルールを確保した上でクラウンを装着すれば、長期的に安定した予後が期待できます。ただし、定期的なメンテナンス(歯科検診)は欠かせません。
Q5. どんなケースでもこの方法が使えますか?
残念ながら、すべてのケースに適用できるわけではありません。以下のような場合は、他の治療法を検討します。
- 歯根が短すぎる場合:引き上げると歯根が持たなくなる
- 歯根に縦のヒビがある場合:保存は困難
- 重度の歯周病がある場合:矯正力に歯周組織が耐えられない
歯科医師が精密検査を行い、保存可能かどうかを総合的に判断します。
まとめ ── 「折れた=抜歯」ではない
歯を失うことは、噛む機能だけでなく、見た目や心理面にも大きな影響を与えます。特に犬歯は噛み合わせの要となる重要な歯です。
条件が合えば、自分の歯を残すことが最善の選択肢になりえます。「折れたから仕方ない」と諦める前に、ぜひ一度ご相談ください。

